Suppr超能文献

Unc-51样激酶3(ULK3)对多发性骨髓瘤中的自噬和细胞存活至关重要。

Unc-51 Like Kinase 3 (ULK3) is essential for autophagy and cell survival in multiple myeloma.

作者信息

Tauro Marilena, Li Tao, Sudalagunta Praneeth R, Meads Mark, Canevarolo Rafael Renatino, Nerlakanti Niveditha, Alugubelli Raghunandan R, Lawrence Harshani R, Gunawan Steven, Ayaz Mohammad, Nareddy Pradeep, Yun Sang Young, Shay Gemma, Yang Kathy, Tran Timothy H, Bishop Ryan T, Nasr Mostafa M, Lawrence Nicholas N J, Schönbrunn Ernst, Cleveland John L, Silva Ariosto S, Shain Kenneth H, Lynch Conor C

机构信息

Department of Tumor Microenvironment & Metastasis, H. Lee Moffitt Cancer Center and Research Institute; Tampa, FL, USA.

Department of Metabolism and Physiology, H. Lee Moffitt Cancer Center and Research Institute; Tampa, FL, USA.

出版信息

Res Sq. 2025 Aug 12:rs.3.rs-7160521. doi: 10.21203/rs.3.rs-7160521/v1.

Abstract

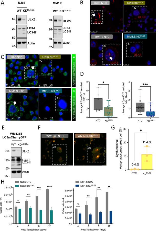
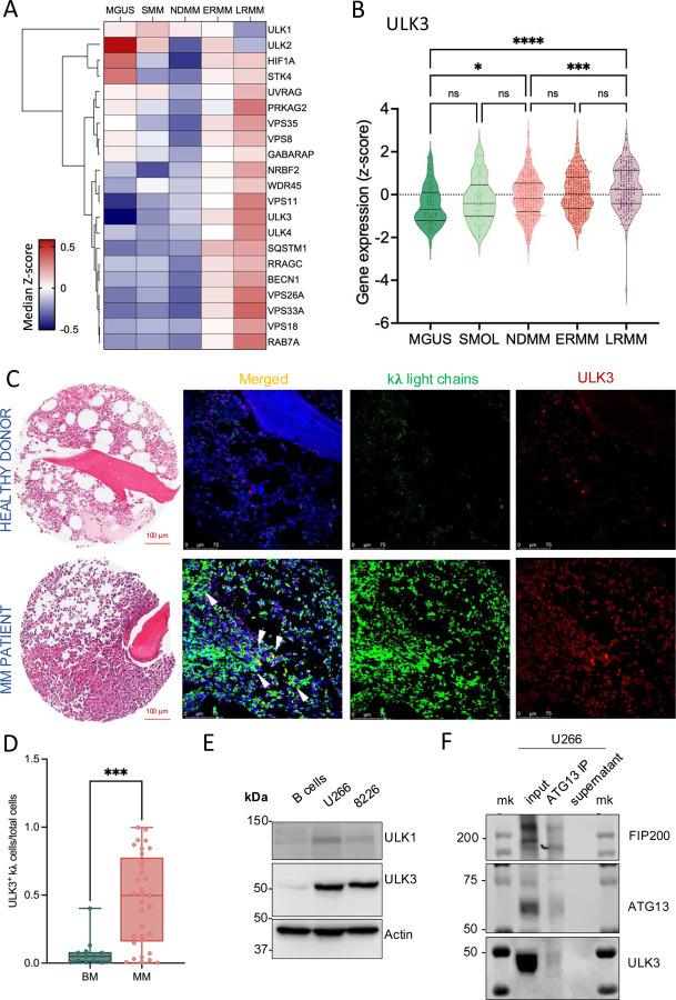
Despite the availability of effective therapies such as proteasome inhibitors, multiple myeloma (MM) patients relapse with refractory disease. To identify new therapeutic targets, we assessed RNA sequencing data from CD138 MM patient cells ( = 813) across disease stages and found that an autophagy gene signature, and particularly ULK3 expression, was strongly associated with disease progression. Functional studies revealed that ULK3 contributes to MM cell survival as part of the ULK-ATG13-FIP200 complex. We generated inhibitors (SG3-014/MA9-060) with nanomolar potency and confirmed their binding mode through co-crystallization with ULK3. , ULK3 inhibition reduced MM burden, improved survival, and protected against cancer-induced bone disease. MA9-060 also restored sensitivity to proteasome inhibitors in resistant MM cells. This synergy was validated in patient samples, especially those with high expression. These findings indicate a new role for ULK3-mediated autophagy in cancer and suggest that ULK3 inhibition is an effective treatment strategy for both newly diagnosed and refractory MM disease.

摘要

尽管有蛋白酶体抑制剂等有效疗法,但多发性骨髓瘤(MM)患者仍会复发难治性疾病。为了确定新的治疗靶点,我们评估了来自疾病各阶段的CD138 MM患者细胞(n = 813)的RNA测序数据,发现自噬基因特征,尤其是ULK3的表达,与疾病进展密切相关。功能研究表明,ULK3作为ULK-ATG13-FIP200复合物的一部分,有助于MM细胞存活。我们生成了具有纳摩尔效力的抑制剂(SG3-014/MA9-060),并通过与ULK3共结晶确定了它们的结合模式。此外,抑制ULK3可减轻MM负担、提高生存率并预防癌症诱导的骨病。MA9-060还恢复了耐药MM细胞对蛋白酶体抑制剂的敏感性。这种协同作用在患者样本中得到验证,尤其是那些高表达的样本。这些发现表明ULK3介导的自噬在癌症中具有新作用,并表明抑制ULK3是新诊断和难治性MM疾病的有效治疗策略。

https://cdn.ncbi.nlm.nih.gov/pmc/blobs/52b4/12363935/d829693441c5/nihpp-rs7160521v1-f0001.jpg

文献AI研究员

20分钟写一篇综述,助力文献阅读效率提升50倍。

立即体验

用中文搜PubMed

大模型驱动的PubMed中文搜索引擎

马上搜索

文档翻译

学术文献翻译模型,支持多种主流文档格式。

立即体验