Suppr超能文献

转录因子EB在运动过程中控制代谢灵活性。

Transcription Factor EB Controls Metabolic Flexibility during Exercise.

作者信息

Mansueto Gelsomina, Armani Andrea, Viscomi Carlo, D'Orsi Luca, De Cegli Rossella, Polishchuk Elena V, Lamperti Costanza, Di Meo Ivano, Romanello Vanina, Marchet Silvia, Saha Pradip K, Zong Haihong, Blaauw Bert, Solagna Francesca, Tezze Caterina, Grumati Paolo, Bonaldo Paolo, Pessin Jeffrey E, Zeviani Massimo, Sandri Marco, Ballabio Andrea

机构信息

Telethon Institute of Genetics and Medicine (TIGEM), Via Campi Flegrei 34, 80078 Pozzuoli, Naples, Italy.

Department of Biomedical Science, University of Padova, Padova 35121, Italy.

出版信息

Cell Metab. 2017 Jan 10;25(1):182-196. doi: 10.1016/j.cmet.2016.11.003. Epub 2016 Dec 20.

Abstract

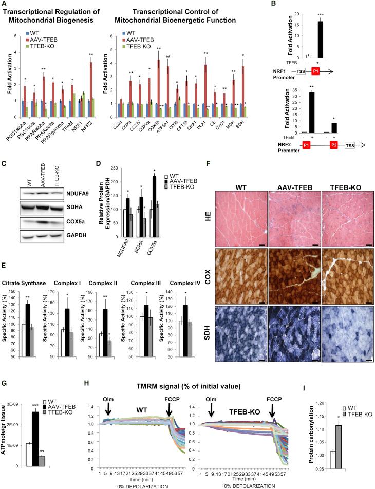
The transcription factor EB (TFEB) is an essential component of lysosomal biogenesis and autophagy for the adaptive response to food deprivation. To address the physiological function of TFEB in skeletal muscle, we have used muscle-specific gain- and loss-of-function approaches. Here, we show that TFEB controls metabolic flexibility in muscle during exercise and that this action is independent of peroxisome proliferator-activated receptor-γ coactivator1α (PGC1α). Indeed, TFEB translocates into the myonuclei during physical activity and regulates glucose uptake and glycogen content by controlling expression of glucose transporters, glycolytic enzymes, and pathways related to glucose homeostasis. In addition, TFEB induces the expression of genes involved in mitochondrial biogenesis, fatty acid oxidation, and oxidative phosphorylation. This coordinated action optimizes mitochondrial substrate utilization, thus enhancing ATP production and exercise capacity. These findings identify TFEB as a critical mediator of the beneficial effects of exercise on metabolism.

摘要

转录因子EB(TFEB)是溶酶体生物合成和自噬的重要组成部分,参与对食物缺乏的适应性反应。为了探究TFEB在骨骼肌中的生理功能,我们采用了肌肉特异性功能获得和功能缺失方法。在此,我们表明TFEB在运动过程中控制肌肉的代谢灵活性,且这一作用独立于过氧化物酶体增殖物激活受体γ共激活因子1α(PGC1α)。实际上,在体力活动期间TFEB会转位至肌细胞核,并通过控制葡萄糖转运蛋白、糖酵解酶以及与葡萄糖稳态相关途径的表达来调节葡萄糖摄取和糖原含量。此外,TFEB可诱导参与线粒体生物合成、脂肪酸氧化和氧化磷酸化的基因表达。这种协同作用优化了线粒体底物利用,从而增强ATP生成和运动能力。这些发现确定TFEB是运动对代谢有益作用的关键介质。

https://cdn.ncbi.nlm.nih.gov/pmc/blobs/aec3/5241227/e3508f447835/fx1.jpg

文献AI研究员

20分钟写一篇综述,助力文献阅读效率提升50倍。

立即体验

用中文搜PubMed

大模型驱动的PubMed中文搜索引擎

马上搜索

文档翻译

学术文献翻译模型,支持多种主流文档格式。

立即体验