Suppr超能文献

斑块内血管生成对兔模型中高剪切应力诱导的易发生动脉粥样硬化破裂斑块的影响。

Effect of intraplaque angiogenesis to atherosclerotic rupture-prone plaque induced by high shear stress in rabbit model.

作者信息

Qiu Juhui, Lei Daoxi, Hu Jianjun, Yin Tieying, Zhang Kang, Yu Donghong, Wang Guixue

机构信息

Department of Bio-engineering, Key Laboratory for Biorheological Science and Technology of Ministry of Education, State and Local Joint Engineering Laboratory for Vascular Implants, Bioengineering College of Chongqing University, Chongqing 400044, China.

出版信息

Regen Biomater. 2017 Aug;4(4):215-222. doi: 10.1093/rb/rbx007. Epub 2017 Jul 7.

Abstract

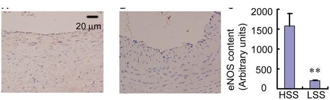
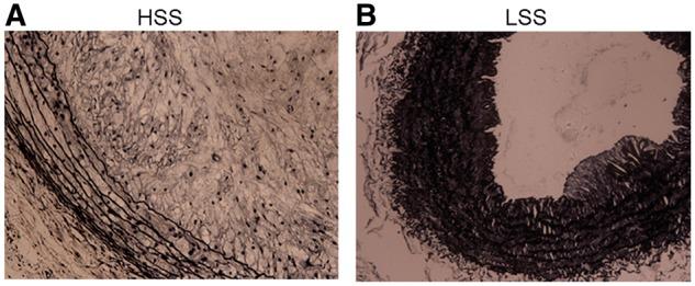
Atherosclerotic prone-rupture plaque is mainly localized in the region of the entrance to the stenosis with high shear stress and the reasons are largely unknown. Our hypothesis is that such a distribution of cells in atherosclerotic plaque may depend on the angiogenesis. Silastic collars induced regions of high shear stress (20.68 ± 5.27 dynes/cm) in the upstream flow and low shear stress (12.25 ± 1.28 dynes/cm) in the downstream flow in carotid arteries. Compared with the low shear stress region, plaques in the high shear stress region showed more intraplaque haemorrhaging, less collagen and higher apoptotic rates of vascular smooth muscle cells; endothelial cells (ECs) in the high shear stress region were characterized with integrity and high endothelial nitric oxide synthase (eNOS) expression (1570.3 ± 345.5% vs 172.9 ± 49.9%). The number of intraplaque microvessels is very high in the high shear stress region (15 ± 1.8 n/mm vs 3.5 ± 0.4 n/mm), and the microvessels in the plaque show ECs were abnormal, with membrane blebs, intracytoplasmic vacuoles and leukocyte infiltration. Our current study reveals that the integrity of the endothelium and the vulnerability of atherosclerotic plaques are simultaneously localized in high shear stress regions, and we provide evidence for the first time that microvessels in the intraplaque maybe responsible for rupture-prone plaque formation in the high shear stress region.

摘要

易发生破裂的动脉粥样硬化斑块主要位于狭窄入口处具有高剪切应力的区域,其原因尚不清楚。我们的假设是,动脉粥样硬化斑块中细胞的这种分布可能取决于血管生成。硅橡胶环在颈动脉上游血流中诱导出高剪切应力区域(20.68±5.27达因/厘米),在下游血流中诱导出低剪切应力区域(12.25±1.28达因/厘米)。与低剪切应力区域相比,高剪切应力区域的斑块表现出更多的斑块内出血、更少的胶原蛋白和更高的血管平滑肌细胞凋亡率;高剪切应力区域的内皮细胞(ECs)具有完整性和高内皮型一氧化氮合酶(eNOS)表达(1570.3±345.5%对172.9±49.9%)。高剪切应力区域的斑块内微血管数量非常高(15±1.8个/毫米对3.5±0.4个/毫米),斑块内的微血管显示ECs异常,有膜泡、胞质内空泡和白细胞浸润。我们目前的研究表明,内皮的完整性和动脉粥样硬化斑块的易损性同时定位于高剪切应力区域,并且我们首次提供证据表明斑块内的微血管可能是高剪切应力区域易破裂斑块形成的原因。

https://cdn.ncbi.nlm.nih.gov/pmc/blobs/7322/5544912/e4d92464e26d/rbx007f1.jpg

文献AI研究员

20分钟写一篇综述,助力文献阅读效率提升50倍。

立即体验

用中文搜PubMed

大模型驱动的PubMed中文搜索引擎

马上搜索

文档翻译

学术文献翻译模型,支持多种主流文档格式。

立即体验