Suppr超能文献

NCAPG通过TGF-β信号通路促进肺腺癌的进展。

NCAPG promotes the progression of lung adenocarcinoma via the TGF-β signaling pathway.

作者信息

Wu Yun, Lin Ying, Pan Junfan, Tu Xunwei, Xu Yiquan, Li Hongru, Chen Yusheng

机构信息

Shengli Clinical Medical College of Fujian Medical University, Fuzhou, 350001, China.

Department of Pulmonary and Critical Care Medicine, Fujian Provincial Hospital, Fuzhou, 350001, China.

出版信息

Cancer Cell Int. 2021 Aug 21;21(1):443. doi: 10.1186/s12935-021-02138-w.

Abstract

BACKGROUND

Lung cancer has the highest case fatality rate among cancers because of uncontrolled proliferation and early metastasis of cancer cells in the lung tissue. This study aimed to clarify the role of the non-SMC condensin I complex, subunit G (NCAPG) in lung adenocarcinoma (LUAD), explore the mechanisms of its progression, and lay the foundation for the search for new biological markers.

METHODS

We analyzed overlapping differentially expressed genes (DEGs) from three datasets; a protein-protein interaction (PPI) network was subsequently constructed and analyzed using Cytoscape. We then selected NCAPG for validation because of its poor prognosis and because it has not been sufficiently studied in the context of LUAD. Immunohistochemical analysis was used to detect the expression of NCAPG in LUAD tissues, and the relationships between NCAPG and clinical parameters were analyzed. In vitro and in vivo experiments were conducted to verify the role of NCAPG in LUAD. Finally, we studied the specific mechanism of action of NCAPG in LUAD.

RESULTS

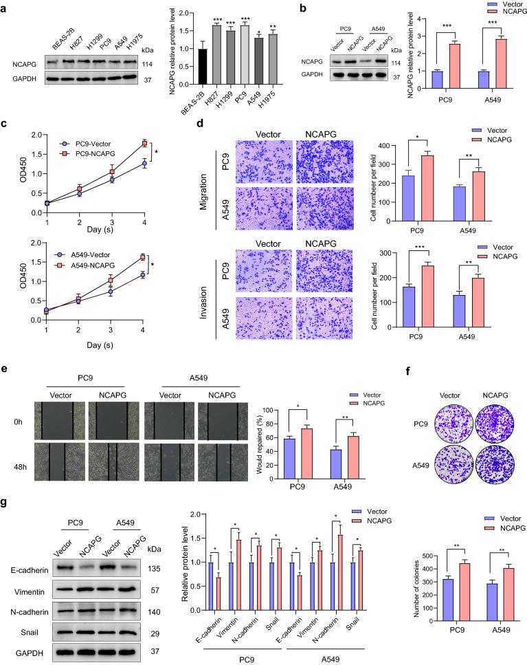
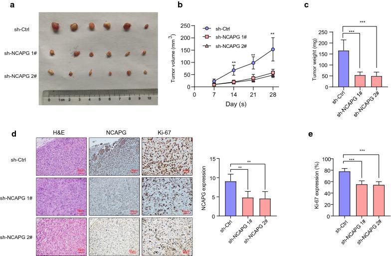
Through comprehensive analysis of the GSE43458, GSE75037, and The Cancer Genome Atlas databases, we identified 517 overlapping DEGs. Among them, NCAPG was identified as a hub gene. Immunohistochemical analysis revealed that NCAPG was strongly associated with the clinical stage, M-classification, and N-classification. Univariate and multivariate Cox regression analyses indicated that NCAPG was a prognostic risk factor for LUAD, while the in vitro experiments showed that NCAPG overexpression promoted proliferation, migration, invasion, and epithelial-mesenchymal transition. Furthermore, knockdown of NCAPG inhibited LUAD progression, both in vitro and in vivo. Mechanistically, NCAPG overexpression increased p-Smad2 and p-Smad3 expressions in the transforming growth factor β (TGF-β) signaling pathway. Additionally, rescue experiments indicated that TGF-β signaling pathway inhibitors could restore the effect of NCAPG overexpression in LUAD cells.

CONCLUSIONS

NCAPG may promote proliferation and migration via the TGF-β signaling pathway in LUAD.

摘要

背景

肺癌因肺组织中癌细胞不受控制的增殖和早期转移而在癌症中具有最高的病死率。本研究旨在阐明非SMC凝聚素I复合物亚基G(NCAPG)在肺腺癌(LUAD)中的作用,探索其进展机制,并为寻找新的生物标志物奠定基础。

方法

我们分析了来自三个数据集的重叠差异表达基因(DEG);随后使用Cytoscape构建并分析蛋白质-蛋白质相互作用(PPI)网络。由于其预后不良且在LUAD背景下尚未得到充分研究,我们选择NCAPG进行验证。采用免疫组织化学分析检测LUAD组织中NCAPG的表达,并分析NCAPG与临床参数之间的关系。进行体外和体内实验以验证NCAPG在LUAD中的作用。最后,我们研究了NCAPG在LUAD中的具体作用机制。

结果

通过对GSE43458、GSE75037和癌症基因组图谱数据库的综合分析,我们鉴定出517个重叠的DEG。其中,NCAPG被鉴定为一个枢纽基因。免疫组织化学分析显示,NCAPG与临床分期、M分期和N分期密切相关。单因素和多因素Cox回归分析表明,NCAPG是LUAD的预后危险因素,而体外实验表明NCAPG过表达促进增殖、迁移、侵袭和上皮-间质转化。此外,敲低NCAPG在体外和体内均抑制LUAD进展。机制上,NCAPG过表达增加了转化生长因子β(TGF-β)信号通路中p-Smad2和p-Smad3的表达。此外,挽救实验表明,TGF-β信号通路抑制剂可恢复NCAPG过表达对LUAD细胞的影响。

结论

NCAPG可能通过TGF-β信号通路促进LUAD的增殖和迁移。

https://cdn.ncbi.nlm.nih.gov/pmc/blobs/1a0a/8380402/aee20857abbb/12935_2021_2138_Fig1_HTML.jpg

文献AI研究员

20分钟写一篇综述,助力文献阅读效率提升50倍。

立即体验

用中文搜PubMed

大模型驱动的PubMed中文搜索引擎

马上搜索

文档翻译

学术文献翻译模型,支持多种主流文档格式。

立即体验