Suppr超能文献

成纤维细胞调节素和 SOX2 信号作为黑色素瘤转移生长的关键调控因子。

Coupled fibromodulin and SOX2 signaling as a critical regulator of metastatic outgrowth in melanoma.

机构信息

Section of Medical Oncology, Department of Medicine, Yale University School of Medicine, 333 Cedar Street, SHM234E, New Haven, CT, 06520, USA.

Biotech Research and Innovation Centre (BRIC), Faculty of Health and Medical Sciences, University of Copenhagen, 2200, Copenhagen, Denmark.

出版信息

Cell Mol Life Sci. 2022 Jun 23;79(7):377. doi: 10.1007/s00018-022-04364-5.

Abstract

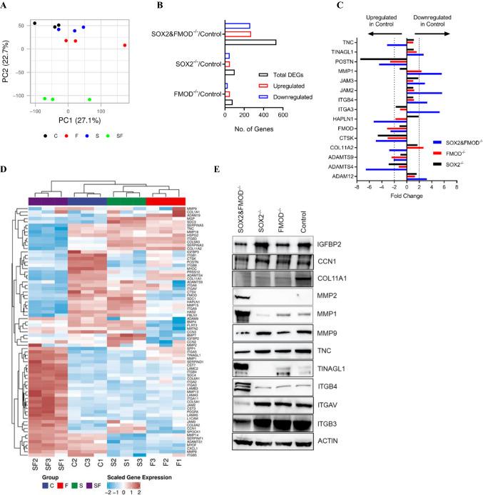
We aimed to study mechanisms controlling metastatic outgrowth of melanoma into clinically relevant lesions, a critical process responsible for the majority of melanoma deaths. To this end, we developed novel in vivo models and identified molecular events that can be ascribed to their distinct phenotypes, indolent or highly metastatic. Induction of a proliferative state at distant sites was associated with high levels of the stem-like/progenitor marker, SOX2, and required the upregulation of FMOD, an extracellular matrix component, which modulates tumor-stroma interactions. Functional studies revealed a possible link between FMOD and SOX2; dual FMOD and SOX2 silencing nearly abolished brain metastasis and had a similar effect on distant metastasis to other sites. Our in vitro data suggests that FMOD and SOX2 cooperation plays an important role in tumor vasculogenic mimicry. Furthermore, we found that FMOD and SOX2 functional roles might converge at the activation of transcriptional co-factors YAP and TAZ, possibly via crosstalk with the tumor suppressor Hippo pathway. Finally, high expression of both genes in patient specimens predicted early development of brain metastasis. Thus, our study identifies FMOD and SOX2 cooperation as a novel regulatory mechanism that might be linked functionally to melanoma metastatic competence.

摘要

我们旨在研究控制黑色素瘤转移生长为临床相关病变的机制,这是导致大多数黑色素瘤死亡的关键过程。为此,我们开发了新的体内模型,并确定了可以归因于其不同表型(惰性或高度转移性)的分子事件。在远处部位诱导增殖状态与高水平的干细胞样/祖细胞标志物 SOX2 相关,并且需要细胞外基质成分 FMOD 的上调,其调节肿瘤-基质相互作用。功能研究揭示了 FMOD 和 SOX2 之间可能存在联系;双重 FMOD 和 SOX2 沉默几乎完全消除了脑转移,并对其他部位的远处转移产生了类似的影响。我们的体外数据表明,FMOD 和 SOX2 的合作在肿瘤血管生成模拟中起着重要作用。此外,我们发现 FMOD 和 SOX2 的功能作用可能在转录共因子 YAP 和 TAZ 的激活上汇聚,可能通过与肿瘤抑制因子 Hippo 通路的串扰。最后,患者标本中这两个基因的高表达预测了脑转移的早期发展。因此,我们的研究确定了 FMOD 和 SOX2 的合作作为一种新的调控机制,可能在功能上与黑色素瘤转移能力相关。

https://cdn.ncbi.nlm.nih.gov/pmc/blobs/b036/11072162/e216d7c9ed33/18_2022_4364_Fig1_HTML.jpg

文献AI研究员

20分钟写一篇综述,助力文献阅读效率提升50倍。

立即体验

用中文搜PubMed

大模型驱动的PubMed中文搜索引擎

马上搜索

文档翻译

学术文献翻译模型,支持多种主流文档格式。

立即体验