Suppr超能文献

PLSCR1 是一种针对 SARS-CoV-2 感染的细胞自主防御因子。

PLSCR1 is a cell-autonomous defence factor against SARS-CoV-2 infection.

机构信息

Howard Hughes Medical Institute, New Haven, CT, USA.

Yale Systems Biology Institute, West Haven, CT, USA.

出版信息

Nature. 2023 Jul;619(7971):819-827. doi: 10.1038/s41586-023-06322-y. Epub 2023 Jul 12.

Abstract

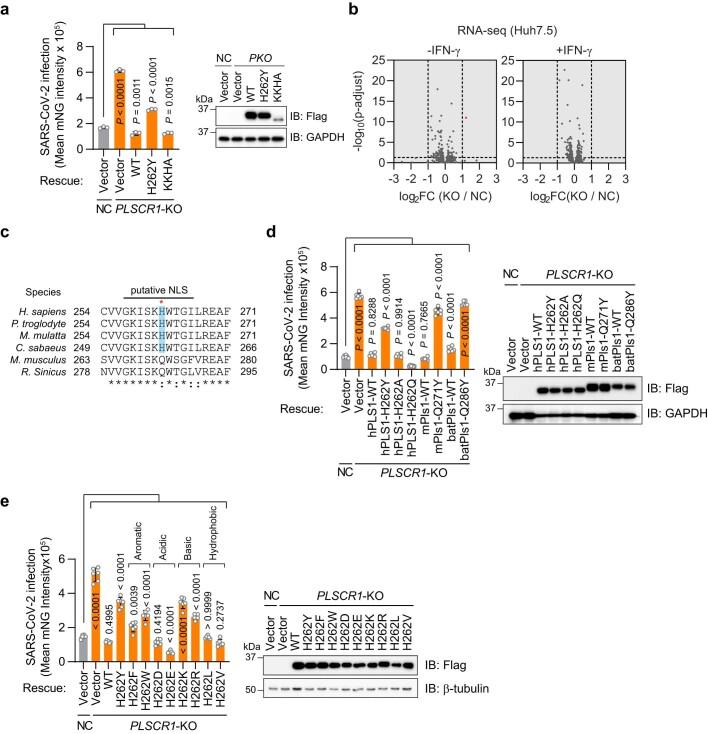
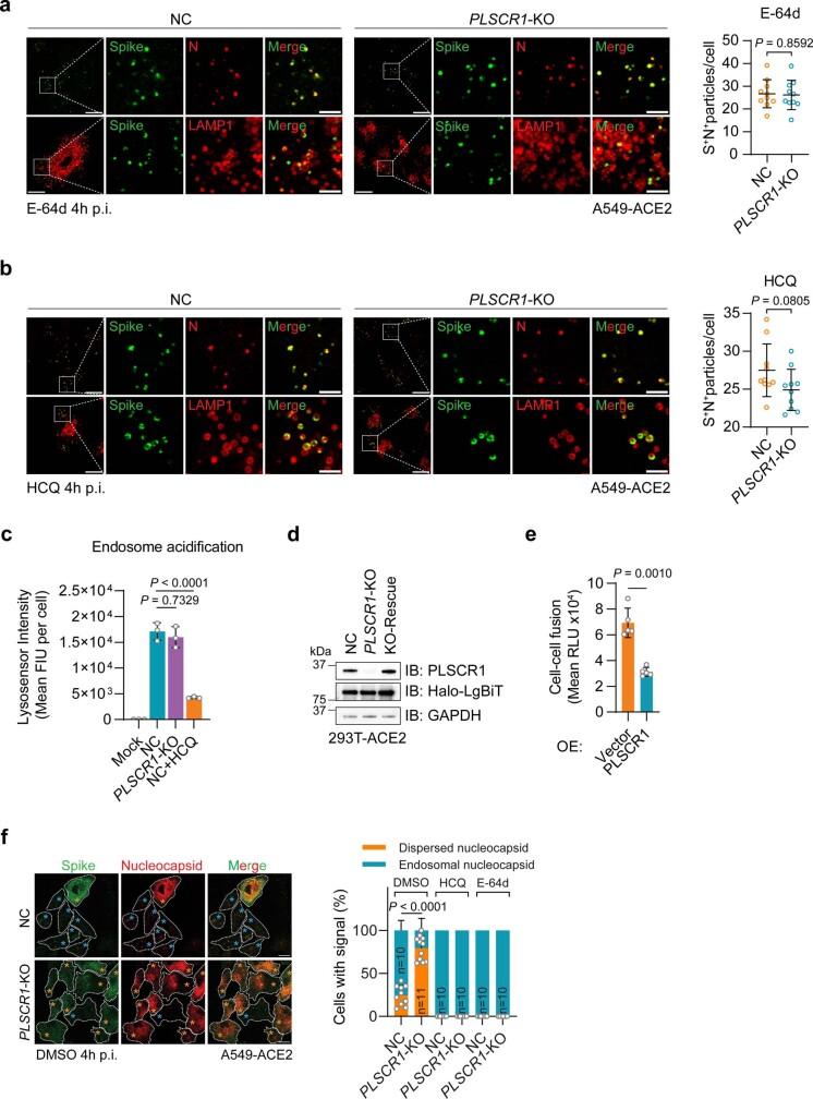
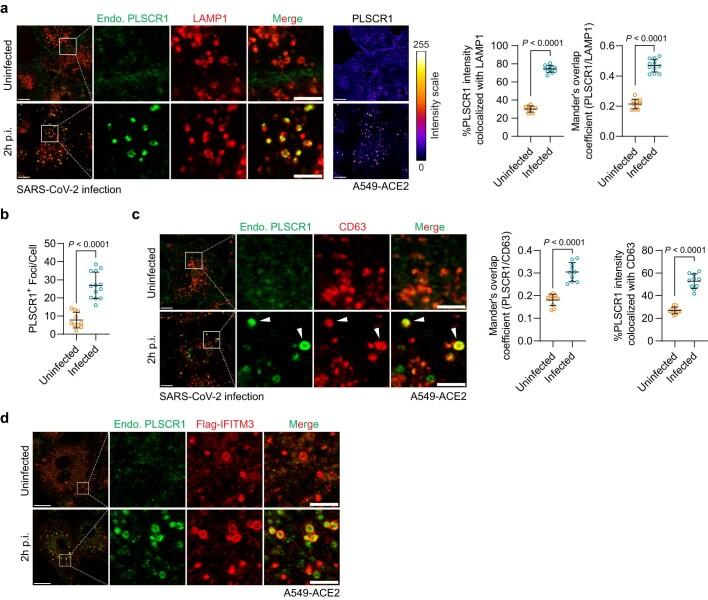
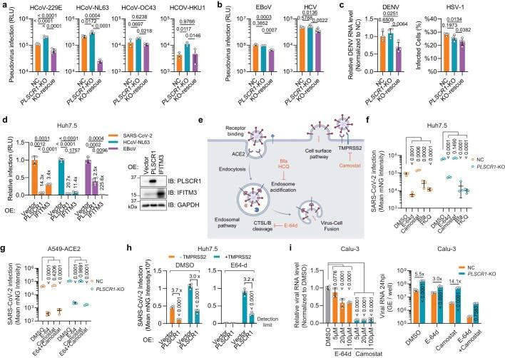
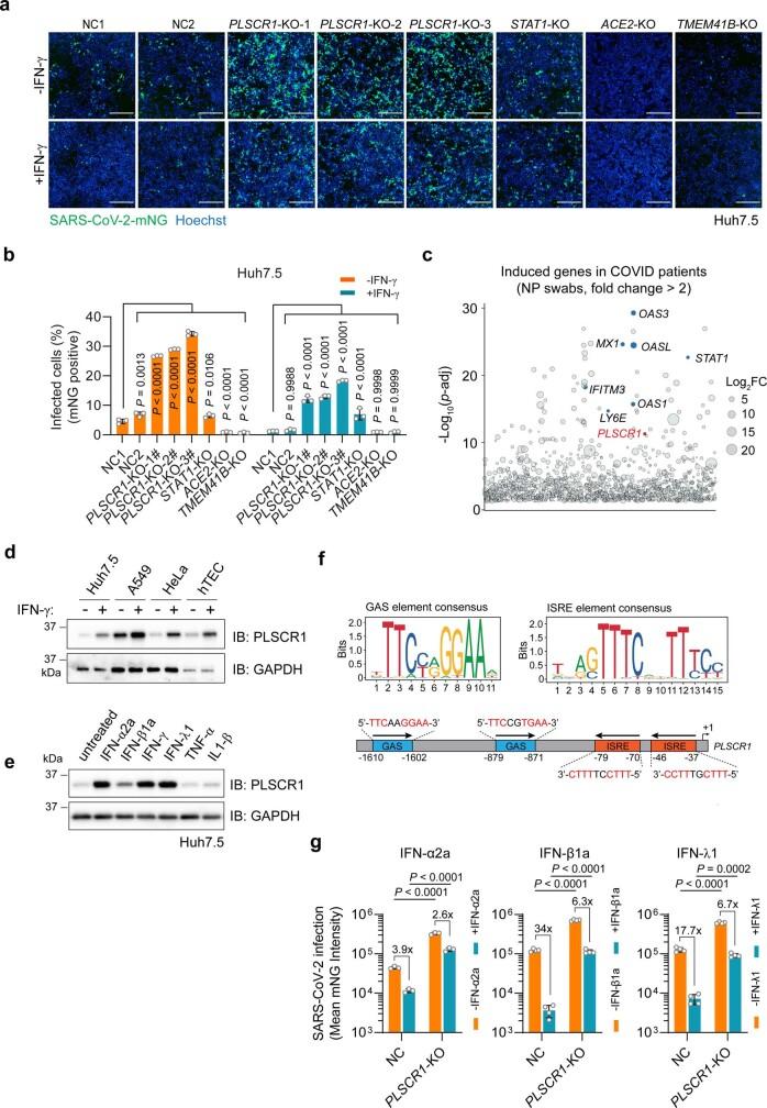
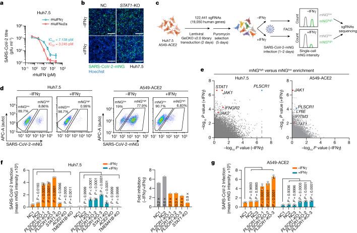
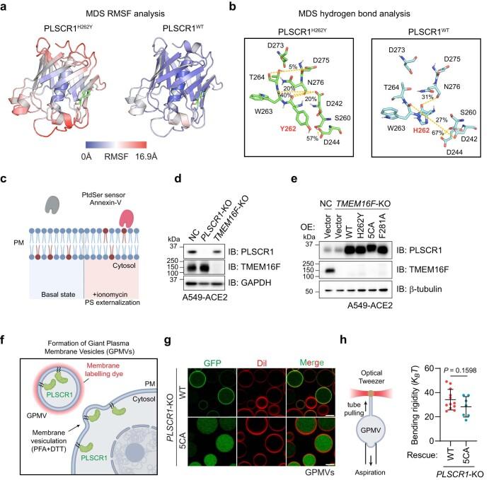
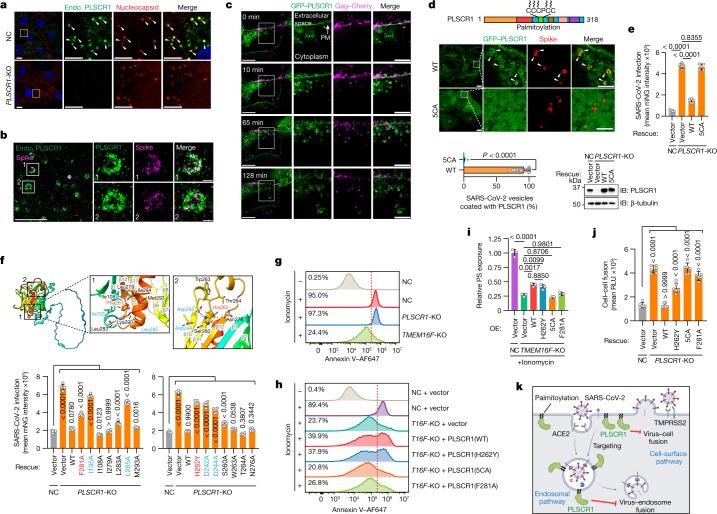
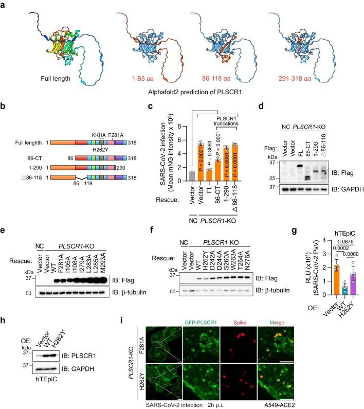
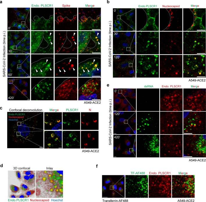
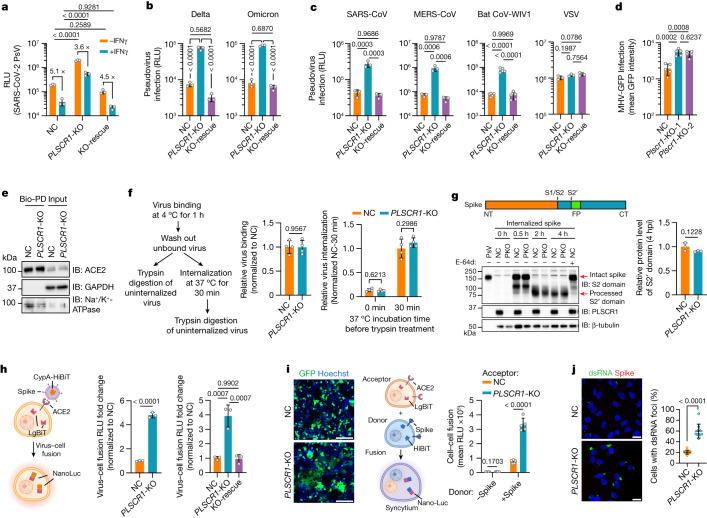
Understanding protective immunity to COVID-19 facilitates preparedness for future pandemics and combats new SARS-CoV-2 variants emerging in the human population. Neutralizing antibodies have been widely studied; however, on the basis of large-scale exome sequencing of protected versus severely ill patients with COVID-19, local cell-autonomous defence is also crucial. Here we identify phospholipid scramblase 1 (PLSCR1) as a potent cell-autonomous restriction factor against live SARS-CoV-2 infection in parallel genome-wide CRISPR-Cas9 screens of human lung epithelia and hepatocytes before and after stimulation with interferon-γ (IFNγ). IFNγ-induced PLSCR1 not only restricted SARS-CoV-2 USA-WA1/2020, but was also effective against the Delta B.1.617.2 and Omicron BA.1 lineages. Its robust activity extended to other highly pathogenic coronaviruses, was functionally conserved in bats and mice, and interfered with the uptake of SARS-CoV-2 in both the endocytic and the TMPRSS2-dependent fusion routes. Whole-cell 4Pi single-molecule switching nanoscopy together with bipartite nano-reporter assays found that PLSCR1 directly targeted SARS-CoV-2-containing vesicles to prevent spike-mediated fusion and viral escape. A PLSCR1 C-terminal β-barrel domain-but not lipid scramblase activity-was essential for this fusogenic blockade. Our mechanistic studies, together with reports that COVID-associated PLSCR1 mutations are found in some susceptible people, identify an anti-coronavirus protein that interferes at a late entry step before viral RNA is released into the host-cell cytosol.

摘要

了解对 COVID-19 的保护性免疫有助于为未来的大流行做好准备,并对抗在人类群体中出现的新 SARS-CoV-2 变体。中和抗体已被广泛研究;然而,基于对 COVID-19 中受保护和重病患者的大规模外显子组测序,局部细胞自主防御也至关重要。在这里,我们确定磷脂酶 Scramblase 1 (PLSCR1) 是一种有效的细胞自主限制因子,可在干扰素-γ (IFNγ) 刺激前后平行进行人类肺上皮细胞和肝细胞的全基因组 CRISPR-Cas9 筛选,从而抵抗活 SARS-CoV-2 感染。IFNγ 诱导的 PLSCR1 不仅限制了 SARS-CoV-2 USA-WA1/2020,而且对 Delta B.1.617.2 和 Omicron BA.1 谱系也有效。其强大的活性扩展到其他高致病性冠状病毒,在蝙蝠和小鼠中具有功能保守性,并干扰了 SARS-CoV-2 在胞吞和 TMPRSS2 依赖性融合途径中的摄取。全细胞 4Pi 单分子切换纳米显微镜和双部分纳米报告物测定发现,PLSCR1 直接靶向含有 SARS-CoV-2 的囊泡,以防止刺突介导的融合和病毒逃逸。PLSCR1 的 C 末端 β-桶结构域而不是脂质翻转酶活性对于这种融合阻断是必需的。我们的机制研究,以及 COVID 相关的 PLSCR1 突变在一些易感人群中发现的报道,确定了一种抗病毒蛋白,该蛋白在病毒 RNA 释放到宿主细胞胞质溶胶之前在晚期进入步骤中发挥作用。

https://cdn.ncbi.nlm.nih.gov/pmc/blobs/c2af/10371867/f9431b784dbb/41586_2023_6322_Fig1_HTML.jpg

文献AI研究员

20分钟写一篇综述,助力文献阅读效率提升50倍。

立即体验

用中文搜PubMed

大模型驱动的PubMed中文搜索引擎

马上搜索

文档翻译

学术文献翻译模型,支持多种主流文档格式。

立即体验