Suppr超能文献

原儿茶酸和原儿茶醛可提高真菌感染后的存活率并抑制真菌毒力。

Procatechuic acid and protocatechuic aldehyde increase survival of after fungal infection and inhibit fungal virulence.

作者信息

Yuan Chunyan, Wang Yuxing, Zhang Le, Wang Dayong

机构信息

Department of Gynaecology and Obstetrics, Zhongda Hospital, Southeast University, Nanjing, China.

Deaprtment of Biochemistry and Molecrla Biology, School of Medicine, Southeast University, Nanjing, China.

出版信息

Front Pharmacol. 2024 May 22;15:1396733. doi: 10.3389/fphar.2024.1396733. eCollection 2024.

Abstract

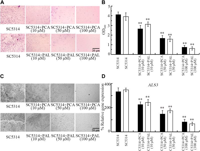
Protocatechuic acid (PCA) and protocatechuic aldehyde (PAL) are important phenolic compounds in plants. We here investigated their possible beneficial effect against fungal infection and the underlying mechanism. The model animal of was used as host, and was used as fungal pathogen. The nematodes were first infected with , and the PCA and PAL treatment were then performed. Post-treatment with 10-100 μM PCA and PAL suppressed toxicity of . infection in reducing lifespan. Accompanied with this beneficial effect, treatment with 10-100 μM PCA and PAL inhibited accumulation in intestinal lumen. In addition, treatment with 10-100 μM PCA and PAL suppressed the increase in expressions of antimicrobial genes caused by infection. The beneficial effect of PCA and PAL against infection depended on p38 MAPK and insulin signals. Moreover, although treatment with 10-100 μM PCA and PAL could not exhibit noticeable antifungal activity, PCA and PAL treatment obviously suppressed biofilm formation, inhibited hyphal growth, and reduced expressions of virulence genes (, , , , and/or ) related to biofilm formation and hyphal growth in . Therefore, our data demonstrated the potential of PCA and PAL post-treatment against fungal infection and fungal virulence.

摘要

原儿茶酸(PCA)和原儿茶醛(PAL)是植物中重要的酚类化合物。我们在此研究了它们对真菌感染可能的有益作用及其潜在机制。以 作为宿主模型动物,以 作为真菌病原体。线虫首先感染 ,然后进行PCA和PAL处理。用10 - 100 μM的PCA和PAL进行处理后可抑制 的毒性。 感染会缩短寿命,而PCA和PAL处理可缓解这种情况。伴随着这种有益作用,用10 - 100 μM的PCA和PAL处理可抑制肠道内腔中 的积累。此外,用10 - 100 μM的PCA和PAL处理可抑制由 感染引起的抗菌基因表达增加。PCA和PAL对 感染的有益作用依赖于p38丝裂原活化蛋白激酶(MAPK)和胰岛素信号。此外,尽管用10 - 100 μM的PCA和PAL处理未表现出明显的抗真菌活性,但PCA和PAL处理明显抑制了生物膜形成,抑制了菌丝生长,并降低了与 生物膜形成和菌丝生长相关的毒力基因( 、 、 、 和/或 )的表达。因此,我们的数据证明了PCA和PAL处理对真菌感染和真菌毒力的潜在作用。

https://cdn.ncbi.nlm.nih.gov/pmc/blobs/a3c4/11150623/0828072e1034/fphar-15-1396733-g001.jpg

文献AI研究员

20分钟写一篇综述,助力文献阅读效率提升50倍。

立即体验

用中文搜PubMed

大模型驱动的PubMed中文搜索引擎

马上搜索

文档翻译

学术文献翻译模型,支持多种主流文档格式。

立即体验