Suppr超能文献

一种新型多效光增敏剂,通过多模态成像引导协同癌症光疗破坏肿瘤。

A Novel Multi-Effect Photosensitizer for Tumor Destruction via Multimodal Imaging Guided Synergistic Cancer Phototherapy.

机构信息

Key Laboratory for Green Chemical Engineering Process of Ministry of Education, Hubei Key Laboratory of Novel Reactor and Green Chemical Technology, School of Chemical Engineering and Pharmacy, Wuhan Institute of Technology, Wuhan, People's Republic of China.

NMPA Key Laboratory for Bioequivalence Research of Generic Drug Evaluation, Shenzhen Institute for Drug Control, Shenzhen, People's Republic of China.

出版信息

Int J Nanomedicine. 2024 Jun 24;19:6377-6397. doi: 10.2147/IJN.S461843. eCollection 2024.

Abstract

BACKGROUND

How to ingeniously design multi-effect photosensitizers (PSs), including multimodal imaging and multi-channel therapy, is of great significance for highly spatiotemporal controllable precise phototherapy of malignant tumors.

METHODS

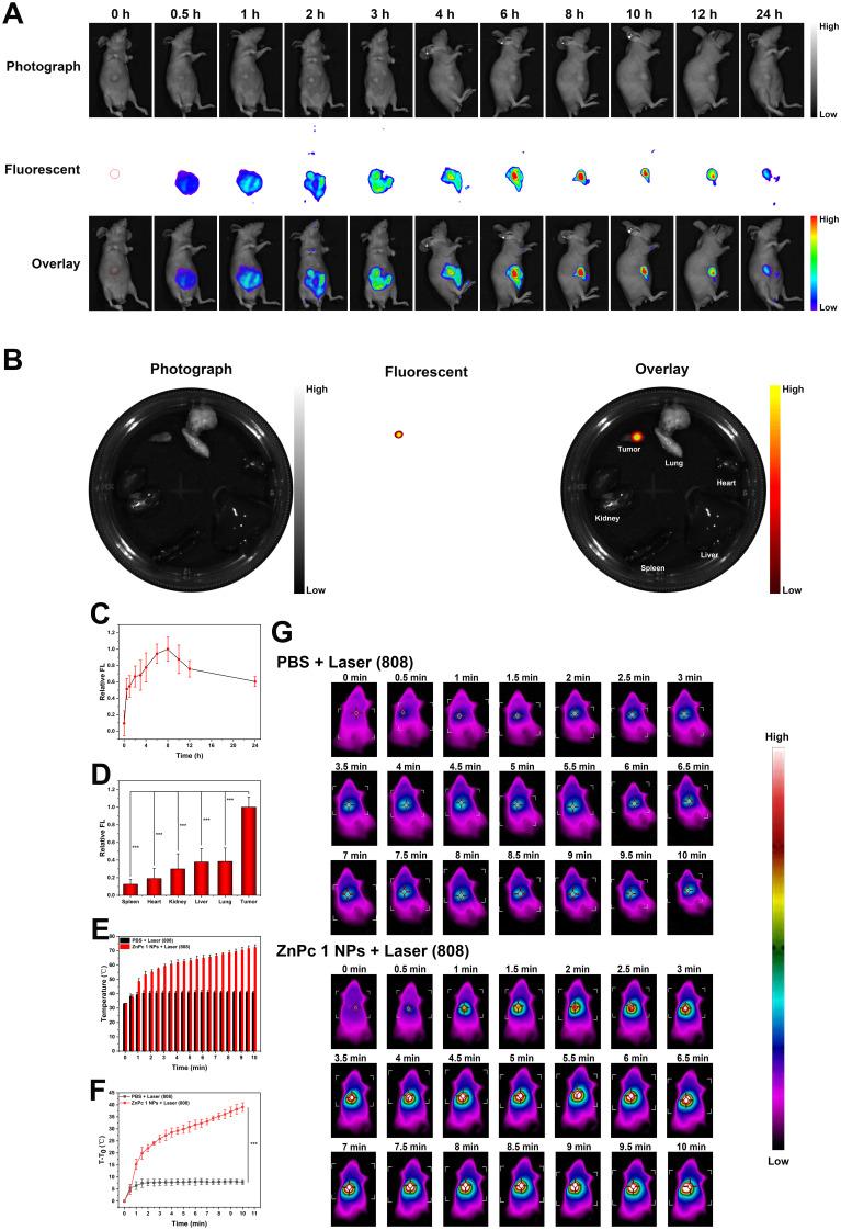
Herein, a novel multifunctional zinc(II) phthalocyanine-based planar micromolecule amphiphile () was successfully designed and synthesized, in which N atom with photoinduced electron transfer effect was introduced to enhance the near-infrared absorbance and nonradiative heat generation. After simple self-assembling into nanoparticles (NPs), would exhibit enhanced multimodal imaging properties including fluorescence (FL) imaging (FLI) /photoacoustic (PA) imaging (PAI) /infrared (IR) thermal imaging, which was further used to guide the combined photodynamic therapy (PDT) and photothermal therapy (PTT).

RESULTS

It was that under the self-guidance of the multimodal imaging, could precisely pinpoint the tumor from the vertical and horizontal boundaries achieving highly efficient and accurate treatment of cancer.

CONCLUSION

Accordingly, the integration of FL/PA/IR multimodal imaging and PDT/PTT synergistic therapy pathway into one could provide a blueprint for the next generation of phototherapy, which offered a new paradigm for the integration of diagnosis and treatment in tumor and a promising prospect for precise cancer therapy.

摘要

背景

如何巧妙地设计多效光敏剂(PSs),包括多模态成像和多通道治疗,对于高度时空可控的恶性肿瘤精确光疗具有重要意义。

方法

本文成功设计并合成了一种新型多功能基于锌(II)酞菁的平面小分子两亲体(),其中引入了具有光致电子转移效应的 N 原子,以增强近红外吸收和非辐射热产生。简单自组装成纳米颗粒(NPs)后,将表现出增强的多模态成像特性,包括荧光(FL)成像(FLI)/光声(PA)成像(PAI)/红外(IR)热成像,进一步用于指导联合光动力疗法(PDT)和光热疗法(PTT)。

结果

正是在多模态成像的自我引导下,能够从垂直和水平边界精确定位肿瘤,实现高效、准确的癌症治疗。

结论

因此,将 FL/PA/IR 多模态成像与 PDT/PTT 协同治疗途径集成到一个中,可以为下一代光疗提供蓝图,为肿瘤的诊断和治疗一体化提供了新范例,并为精确癌症治疗提供了广阔的前景。

https://cdn.ncbi.nlm.nih.gov/pmc/blobs/601b/11215494/1f9574624d18/IJN-19-6377-g0001.jpg

文献AI研究员

20分钟写一篇综述,助力文献阅读效率提升50倍。

立即体验

用中文搜PubMed

大模型驱动的PubMed中文搜索引擎

马上搜索

文档翻译

学术文献翻译模型,支持多种主流文档格式。

立即体验