Suppr超能文献

致命性新冠肺炎肺炎中的细胞和免疫反应。

Cellular and immune response in fatal COVID-19 pneumonia.

作者信息

Genova Sylvia Nikolaeva, Pencheva Mina Miroslavova, Abadjieva Tsvetana Ivanova, Atanasov Nikolay Georgiev

机构信息

Department of General and Clinical Pathology, Medical Faculty, Medical University Plovdiv, Plovdiv, Bulgaria.

St George University Hospital, Plovdiv, Bulgaria.

出版信息

Pan Afr Med J. 2024 Dec 19;49:130. doi: 10.11604/pamj.2024.49.130.45739. eCollection 2024.

Abstract

INTRODUCTION

the severity of COVID-19, causing fatal pneumonia, acute respiratory distress syndrome (ARDS), and thrombotic complications, is linked to intense inflammation. Elevated CD4+ and CD8+ cells in the lungs indicate harmful inflammation in severe cases. This study investigates immune responses in lung tissues of deceased patients across different stages of COVID-19 pneumonia.

METHODS

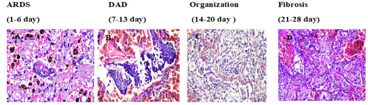
lung tissues from 160 fatal COVID-19 cases, diagnosed via Real-Time RT-PCR, were histologically analyzed to identify pneumonia stages. Inflammatory cell counts were assessed immunohistochemically. Non-parametric tests analyzed categorical variables, while regression analysis evaluated relationships between continuous variables.

RESULTS

the average patient age was 68.1 years (± 12.6). Microscopic analysis identified four pneumonia stages. CD4+, CD68 (macrophages), and IgG4 levels peaked by day 14, with notable elevation within seven days of symptom onset. CD4+ levels were significantly lower in DAD pneumonia (49.4% ± 15.7%) compared to ARDS (66.4% ± 19.3%) and thrombosis (70.2% ± 28.9%) (p < 0.05). Male patients had higher CD4+ values (68.5% ± 21.1%) than females (56.9% ± 22.4%) (p < 0.05). B cells (CD20) and NK cells were depleted across all stages. IgG4 expression reached 80-90% in acute phases but was nearly absent during organization and fibrosis stages.

CONCLUSION

a sharp decline in CD4+ and CD8+ during acute pneumonia and sepsis reflects immune exhaustion, while their elevation in ARDS and thrombosis likely triggers cytokine storms, causing severe lung damage. Elevated IgG4 levels in acute lung tissue correlate with fatal outcomes in severe COVID-19.

摘要

引言

新型冠状病毒肺炎(COVID-19)的严重程度与严重炎症有关,可导致致命性肺炎、急性呼吸窘迫综合征(ARDS)和血栓形成并发症。肺部CD4+和CD8+细胞升高表明重症病例存在有害炎症。本研究调查了COVID-19肺炎不同阶段死亡患者肺组织中的免疫反应。

方法

对160例经实时逆转录聚合酶链反应(Real-Time RT-PCR)诊断的COVID-19死亡病例的肺组织进行组织学分析,以确定肺炎阶段。通过免疫组织化学评估炎症细胞计数。采用非参数检验分析分类变量,回归分析评估连续变量之间的关系。

结果

患者平均年龄为68.1岁(±12.6)。显微镜分析确定了四个肺炎阶段。CD4+、CD68(巨噬细胞)和IgG4水平在第14天达到峰值,在症状出现后7天内显著升高。与ARDS(66.4%±19.3%)和血栓形成(70.2%±28.9%)相比,弥漫性肺泡损伤(DAD)肺炎中的CD4+水平显著降低(49.4%±15.7%)(p<0.05)。男性患者的CD4+值(68.5%±21.1%)高于女性(56.9%±22.4%)(p<0.05)。在所有阶段,B细胞(CD20)和自然杀伤(NK)细胞均减少。IgG4表达在急性期达到80-90%,但在机化和纤维化阶段几乎不存在。

结论

急性肺炎和脓毒症期间CD4+和CD8+的急剧下降反映了免疫耗竭,而它们在ARDS和血栓形成中的升高可能引发细胞因子风暴,导致严重的肺损伤。急性肺组织中IgG4水平升高与重症COVID-19的致命结局相关。

https://cdn.ncbi.nlm.nih.gov/pmc/blobs/6e93/11971930/7b0e36d343b2/PAMJ-49-130-g001.jpg

文献AI研究员

20分钟写一篇综述,助力文献阅读效率提升50倍。

立即体验

用中文搜PubMed

大模型驱动的PubMed中文搜索引擎

马上搜索

文档翻译

学术文献翻译模型,支持多种主流文档格式。

立即体验