Suppr超能文献

肺泡蛋白稳定弓形体虫中的皮质微管。

Alveolar proteins stabilize cortical microtubules in Toxoplasma gondii.

机构信息

Whitehead Institute for Biomedical Research, Cambridge, 02142, MA, USA.

Wellcome Centre for Molecular Parasitology, Institute of Infection, Immunity & Inflammation, University of Glasgow, Glasgow, G12 8TA, UK.

出版信息

Nat Commun. 2019 Jan 23;10(1):401. doi: 10.1038/s41467-019-08318-7.

Abstract

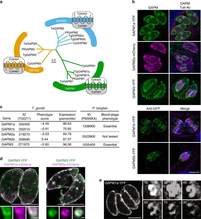
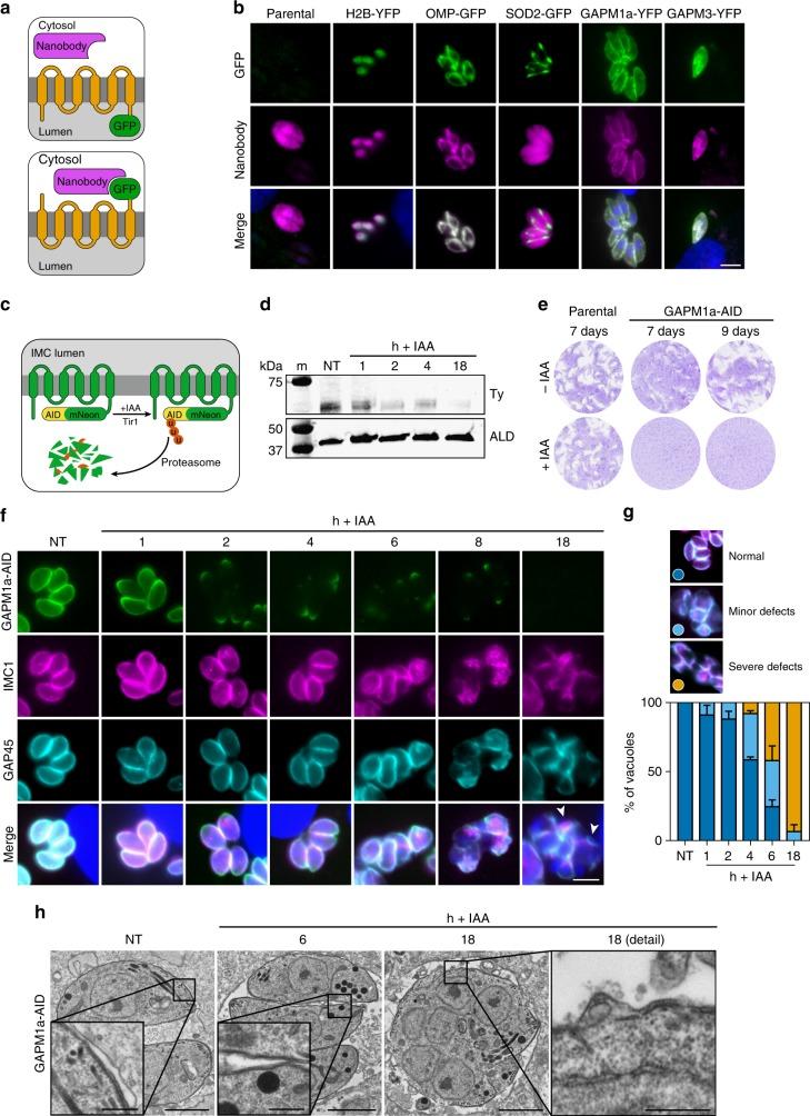
Single-celled protists use elaborate cytoskeletal structures, including arrays of microtubules at the cell periphery, to maintain polarity and rigidity. The obligate intracellular parasite Toxoplasma gondii has unusually stable cortical microtubules beneath the alveoli, a network of flattened membrane vesicles that subtends the plasmalemma. However, anchoring of microtubules along alveolar membranes is not understood. Here, we show that GAPM1a, an integral membrane protein of the alveoli, plays a role in maintaining microtubule stability. Degradation of GAPM1a causes cortical microtubule disorganisation and subsequent depolymerisation. These changes in the cytoskeleton lead to parasites becoming shorter and rounder, which is accompanied by a decrease in cellular volume. Extended GAPM1a depletion leads to severe defects in division, reminiscent of the effect of disrupting other alveolar proteins. We suggest that GAPM proteins link the cortical microtubules to the alveoli and are required to maintain the shape and rigidity of apicomplexan zoites.

摘要

单细胞原生动物利用精细的细胞骨架结构,包括细胞外周的微管阵列,来维持极性和刚性。专性细胞内寄生虫刚地弓形虫在肺泡下具有异常稳定的皮质微管,这是一个由扁平膜泡组成的网络,支撑着质膜。然而,微管在肺泡膜上的锚定机制尚不清楚。在这里,我们表明肺泡的整合膜蛋白 GAPM1a 在维持微管稳定性方面发挥作用。GAPM1a 的降解导致皮质微管解聚和随后的解聚。细胞骨架的这些变化导致寄生虫变短变圆,伴随着细胞体积的减少。延长 GAPM1a 的耗竭会导致分裂严重缺陷,这类似于破坏其他肺泡蛋白的效果。我们认为 GAPM 蛋白将皮质微管与肺泡连接起来,并需要维持顶复门动质的形状和刚性。

https://cdn.ncbi.nlm.nih.gov/pmc/blobs/a970/6344517/076398e55a4b/41467_2019_8318_Fig1_HTML.jpg

文献AI研究员

20分钟写一篇综述,助力文献阅读效率提升50倍。

立即体验

用中文搜PubMed

大模型驱动的PubMed中文搜索引擎

马上搜索

文档翻译

学术文献翻译模型,支持多种主流文档格式。

立即体验