Suppr超能文献

缺氧通过抑制 METTL14 触发的 YTHDF2 依赖性 SLC7A11 沉默来阻断肝细胞癌的铁死亡。

Hypoxia blocks ferroptosis of hepatocellular carcinoma via suppression of METTL14 triggered YTHDF2-dependent silencing of SLC7A11.

机构信息

Department of Interventional Radiology, Zhongshan Hospital, Fudan University, Shanghai, China.

Department of Pharmacology, School of Basic Medical Sciences, Shanghai Medical College, Fudan University, Shanghai, China.

出版信息

J Cell Mol Med. 2021 Nov;25(21):10197-10212. doi: 10.1111/jcmm.16957. Epub 2021 Oct 5.

Abstract

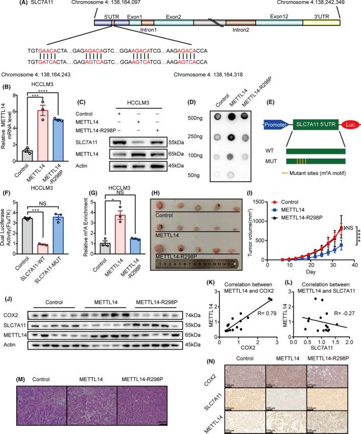
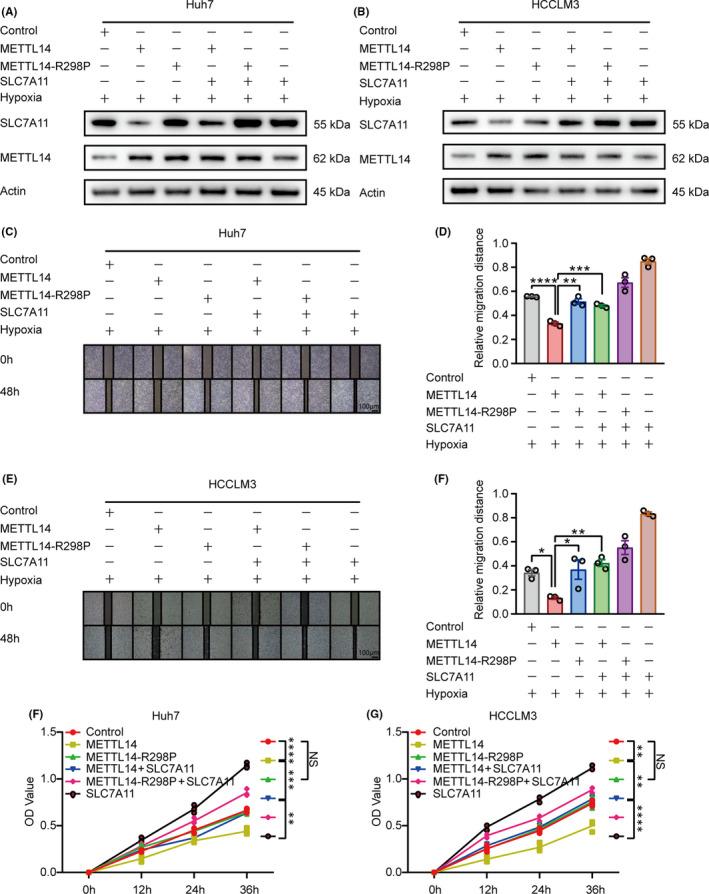
Residue hepatocellular carcinoma (HCC) cells enduring hypoxic environment triggered by interventional embolization obtain more malignant potential with little clarified mechanism. The N -methyladenosine (m A) biological activity plays essential roles in diverse physiological processes. However, its role under hypoxic condition remains largely unexplored. RT-qPCR and Western blot were used to evaluate METTL14 expression in hypoxic HCC cells. MDA assay and electronic microscopy photography were used to evaluate ferroptosis. The correlation between SLC7A11 and METTL14 was conducted by bioinformatical analysis. Flow cytometry was used to verify the effect of SLC7A11 on ROS production. Cell counting kit-8 assay was performed to detect cells proliferation ability. Hypoxia triggered suppression of METTL14 in a HIF-1α-dependent manner potently abrogated ferroptosis of HCC cells. Mechanistic investigation identified SLC7A11 was a direct target of METTL14. Both in vitro and in vivo assay demonstrated that METTL14 induced m A modification at 5'UTR of SLC7A11 mRNA, which in turn underwent degradation relied on the YTHDF2-dependent pathway. Importantly, ectopic expression of SLC7A11 strongly blocked METTL14-induced tumour-suppressive effect in hypoxic HCC. Our investigations lay the emphasis on the hypoxia-regulated ferroptosis in HCC cells and identify the HIF-1α /METTL14/YTHDF2/SLC7A11 axis as a potential therapeutic target for the HCC interventional embolization treatment.

摘要

残留肝癌(HCC)细胞在介入栓塞引发的缺氧环境中,获得了更多的恶性潜能,但具体机制尚不清楚。N6-甲基腺苷(m A)的生物学活性在多种生理过程中发挥着重要作用。然而,其在缺氧条件下的作用仍在很大程度上未被探索。RT-qPCR 和 Western blot 用于评估缺氧 HCC 细胞中 METTL14 的表达。MDA 测定和电子显微镜摄影用于评估铁死亡。通过生物信息学分析研究 SLC7A11 和 METTL14 之间的相关性。流式细胞术用于验证 SLC7A11 对 ROS 产生的影响。细胞计数试剂盒-8 测定用于检测细胞增殖能力。缺氧以依赖 HIF-1α的方式强烈抑制 METTL14,从而有力地阻止 HCC 细胞的铁死亡。机制研究确定 SLC7A11 是 METTL14 的直接靶标。体外和体内实验均表明,METTL14 在 SLC7A11 mRNA 的 5'UTR 上诱导 m A 修饰,进而依赖于 YTHDF2 依赖性途径进行降解。重要的是,SLC7A11 的异位表达强烈阻断了 METTL14 在缺氧 HCC 中诱导的肿瘤抑制作用。我们的研究强调了 HCC 细胞中缺氧调节的铁死亡,并确定了 HIF-1α/METTL14/YTHDF2/SLC7A11 轴作为 HCC 介入栓塞治疗的潜在治疗靶点。

https://cdn.ncbi.nlm.nih.gov/pmc/blobs/7b42/8572766/15da462dd2ef/JCMM-25-10197-g004.jpg

文献AI研究员

20分钟写一篇综述,助力文献阅读效率提升50倍。

立即体验

用中文搜PubMed

大模型驱动的PubMed中文搜索引擎

马上搜索

文档翻译

学术文献翻译模型,支持多种主流文档格式。

立即体验