Suppr超能文献

KIAA1429 通过依赖于 mA-YTHDF2 的方式来破坏 RASD1 mRNA 的稳定性,从而促进胃癌的进展。

KIAA1429 promotes gastric cancer progression by destabilizing RASD1 mRNA in an mA-YTHDF2-dependent manner.

机构信息

Cancer Center, Department of Gastroenterology, Zhejiang Provincial People's Hospital (Affiliated People's Hospital), Hangzhou Medical College, Hangzhou, Zhejiang, China.

Department of Gastroenterology, The First Affiliated Hospital, Zhejiang University School of Medicine, 79 Qingchun Road, Hangzhou, 310003, Zhejiang, China.

出版信息

J Transl Med. 2024 Jun 20;22(1):584. doi: 10.1186/s12967-024-05375-5.

Abstract

BACKGROUND

KIAA1429, a regulatory subunit of the N-methyladenosine (mA) methyltransferase complex, has been implicated in the progression of various cancers. However, the role of KIAA1429 in gastric cancer (GC) and its underlying mechanisms remain elusive. This study aimed to investigate the role of KIAA1429 in GC and to elucidate the underlying mechanisms.

METHODS

The expression patterns and clinical relevance of KIAA1429 in GC were assessed using quantitative real-time PCR (qRT-PCR), Western blotting, immunohistochemistry (IHC), and bioinformatic analysis. In vitro and in vivo loss- and gain-of-function assays, mA dot blot assays, methylated RNA immunoprecipitation sequencing (MeRIP-seq), RNA-seq, MeRIP-qPCR, dual luciferase reporter assays, RNA stability assays, RNA immunoprecipitation (RIP) assays, and RNA pull-down assays were performed to investigate the biological functions and underlying molecular mechanisms of KIAA1429 in GC.

RESULTS

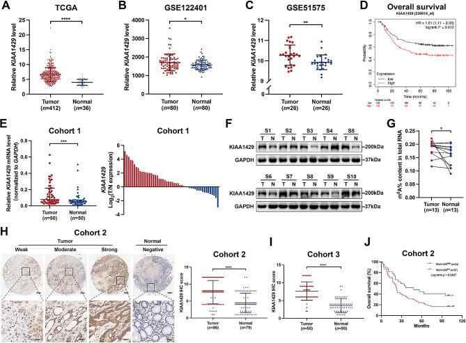
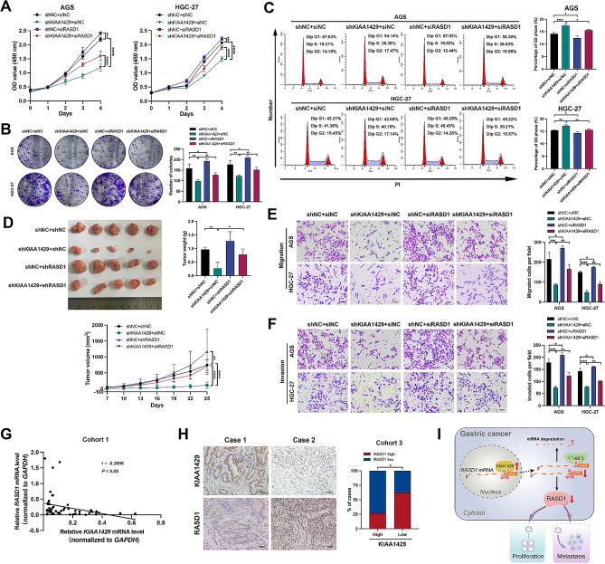
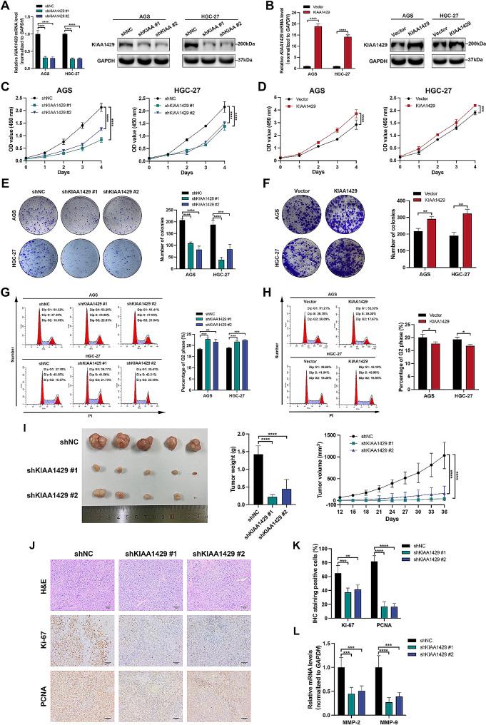
Both the mRNA and protein expression of KIAA1429 were greater in GC tissues than in normal gastric tissues. High KIAA1429 expression correlated positively with poor prognosis in GC patients. KIAA1429 not only promoted GC cell proliferation, colony formation, G2/M cell cycle transition, migration, and invasion in vitro but also enhanced GC tumor growth and metastasis in vivo. Mechanistically, KIAA1429 increased the mA level of RASD1 mRNA and enhanced its stability in an mA-YTHDF2-dependent manner, thereby upregulating its expression. RASD1 knockdown partially rescued the KIAA1429 knockdown-induced impairment of pro‑oncogenic ability in GC cells. The expression levels of KIAA1429 and RASD1 were negatively correlated in GC tissues.

CONCLUSIONS

KIAA1429 plays a pro‑oncogenic role in GC by downregulating RASD1 expression through destabilizing RASD1 mRNA in an mA-YTHDF2-dependent manner. KIAA1429 may serve as a prognostic biomarker and therapeutic target for GC.

摘要

背景

KIAA1429 是 N6-甲基腺苷(m6A)甲基转移酶复合物的调节亚基,与多种癌症的进展有关。然而,KIAA1429 在胃癌(GC)中的作用及其潜在机制仍不清楚。本研究旨在探讨 KIAA1429 在 GC 中的作用,并阐明其潜在机制。

方法

采用实时定量 PCR(qRT-PCR)、Western blot、免疫组织化学(IHC)和生物信息学分析评估 KIAA1429 在 GC 中的表达模式和临床相关性。体外和体内的失活和激活功能测定、m6A 斑点印迹分析、甲基化 RNA 免疫沉淀测序(MeRIP-seq)、RNA-seq、MeRIP-qPCR、双荧光素酶报告基因测定、RNA 稳定性测定、RNA 免疫沉淀(RIP)测定、RNA 下拉测定等方法来研究 KIAA1429 在 GC 中的生物学功能及其潜在的分子机制。

结果

GC 组织中 KIAA1429 的 mRNA 和蛋白表达均高于正常胃组织。高 KIAA1429 表达与 GC 患者预后不良呈正相关。KIAA1429 不仅促进 GC 细胞在体外的增殖、集落形成、G2/M 细胞周期转变、迁移和侵袭,而且在体内增强 GC 肿瘤的生长和转移。机制上,KIAA1429 增加了 RASD1 mRNA 的 m6A 水平,并以 m6A-YTHDF2 依赖的方式增强其稳定性,从而上调其表达。RASD1 敲低部分挽救了 GC 细胞中 KIAA1429 敲低引起的促癌能力损伤。GC 组织中 KIAA1429 和 RASD1 的表达水平呈负相关。

结论

KIAA1429 通过 m6A-YTHDF2 依赖的方式下调 RASD1 mRNA 的稳定性,从而下调 RASD1 的表达,在 GC 中发挥致癌作用。KIAA1429 可能成为 GC 的预后标志物和治疗靶点。

https://cdn.ncbi.nlm.nih.gov/pmc/blobs/5384/11191263/1982773b14b7/12967_2024_5375_Fig1_HTML.jpg

文献AI研究员

20分钟写一篇综述,助力文献阅读效率提升50倍。

立即体验

用中文搜PubMed

大模型驱动的PubMed中文搜索引擎

马上搜索

文档翻译

学术文献翻译模型,支持多种主流文档格式。

立即体验