Suppr超能文献

活化的Pin1是全反式维甲酸在急性早幼粒细胞白血病和乳腺癌中的关键靶点。

Active Pin1 is a key target of all-trans retinoic acid in acute promyelocytic leukemia and breast cancer.

作者信息

Wei Shuo, Kozono Shingo, Kats Lev, Nechama Morris, Li Wenzong, Guarnerio Jlenia, Luo Manli, You Mi-Hyeon, Yao Yandan, Kondo Asami, Hu Hai, Bozkurt Gunes, Moerke Nathan J, Cao Shugeng, Reschke Markus, Chen Chun-Hau, Rego Eduardo M, Lo-Coco Francesco, Cantley Lewis C, Lee Tae Ho, Wu Hao, Zhang Yan, Pandolfi Pier Paolo, Zhou Xiao Zhen, Lu Kun Ping

机构信息

1] Division of Translational Therapeutics, Department of Medicine, Beth Israel Deaconess Medical Center (BIDMC), Harvard Medical School, Boston, Massachusetts, USA. [2] Department of Medicine, BIDMC, Harvard Medical School, Boston, Massachusetts, USA.. [3] Cancer Research Institute, Beth Israel Deaconess Cancer Center, Harvard Medical School, Boston, Massachusetts, USA.

1] Department of Medicine, BIDMC, Harvard Medical School, Boston, Massachusetts, USA.. [2] Cancer Research Institute, Beth Israel Deaconess Cancer Center, Harvard Medical School, Boston, Massachusetts, USA. [3] Department of Pathology, BIDMC, Harvard Medical School, Boston, Massachusetts, USA.

出版信息

Nat Med. 2015 May;21(5):457-66. doi: 10.1038/nm.3839. Epub 2015 Apr 13.

Abstract

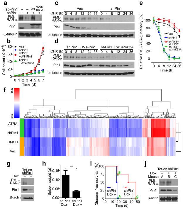
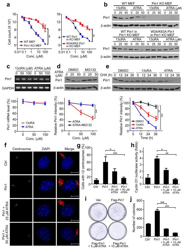
A common key regulator of oncogenic signaling pathways in multiple tumor types is the unique isomerase Pin1. However, available Pin1 inhibitors lack the required specificity and potency for inhibiting Pin1 function in vivo. By using mechanism-based screening, here we find that all-trans retinoic acid (ATRA)--a therapy for acute promyelocytic leukemia (APL) that is considered the first example of targeted therapy in cancer, but whose drug target remains elusive--inhibits and degrades active Pin1 selectively in cancer cells by directly binding to the substrate phosphate- and proline-binding pockets in the Pin1 active site. ATRA-induced Pin1 ablation degrades the protein encoded by the fusion oncogene PML-RARA and treats APL in APL cell and animal models as well as in human patients. ATRA-induced Pin1 ablation also potently inhibits triple-negative breast cancer cell growth in human cells and in animal models by acting on many Pin1 substrate oncogenes and tumor suppressors. Thus, ATRA simultaneously blocks multiple Pin1-regulated cancer-driving pathways, an attractive property for treating aggressive and drug-resistant tumors.

摘要

在多种肿瘤类型中,致癌信号通路的一个常见关键调节因子是独特的异构酶Pin1。然而,现有的Pin1抑制剂在体内抑制Pin1功能时缺乏所需的特异性和效力。通过基于机制的筛选,我们发现全反式维甲酸(ATRA)——一种用于治疗急性早幼粒细胞白血病(APL)的疗法,被认为是癌症靶向治疗的首个范例,但其药物靶点仍不明确——通过直接结合Pin1活性位点中的底物磷酸和脯氨酸结合口袋,在癌细胞中选择性地抑制并降解活性Pin1。ATRA诱导的Pin1缺失可降解融合致癌基因PML-RARA编码的蛋白质,并在APL细胞和动物模型以及人类患者中治疗APL。ATRA诱导的Pin1缺失还通过作用于许多Pin1底物致癌基因和肿瘤抑制因子,在人类细胞和动物模型中有效抑制三阴性乳腺癌细胞的生长。因此,ATRA同时阻断多个Pin1调节的癌症驱动通路,这是治疗侵袭性和耐药性肿瘤的一个有吸引力的特性。

https://cdn.ncbi.nlm.nih.gov/pmc/blobs/b8af/4425616/4b16f05c34b2/nihms672872f1.jpg

文献AI研究员

20分钟写一篇综述,助力文献阅读效率提升50倍。

立即体验

用中文搜PubMed

大模型驱动的PubMed中文搜索引擎

马上搜索

文档翻译

学术文献翻译模型,支持多种主流文档格式。

立即体验