Suppr超能文献

阿司匹林抑制SHH/GLI1信号通路,并使恶性胶质瘤细胞对替莫唑胺治疗敏感。

Aspirin inhibits the SHH/GLI1 signaling pathway and sensitizes malignant glioma cells to temozolomide therapy.

作者信息

Ming Jianguang, Sun Bo, Li Ziwei, Lin Lin, Meng Xiangqi, Han Bo, Wang Ruijia, Wu Pengfei, Li Jianlong, Cai Jinquan, Jiang Chuanlu

机构信息

Department of Neurosurgery, The Second Affiliated Hospital of Harbin Medical University, Harbin 150086, China.

Chinese Glioma Cooperative Group (CGCG), Beijing 100050, China.

出版信息

Aging (Albany NY). 2017 Apr;9(4):1233-1247. doi: 10.18632/aging.101224.

Abstract

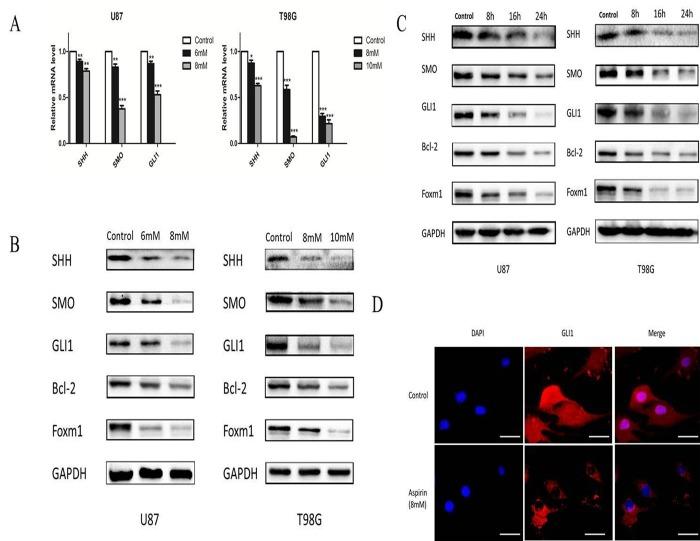
Aberrant activation of sonic hedgehog (SHH)/glioma-associated oncogene homolog 1 (GLI1) pathway plays an important role in the tumorigenicity of malignant glioma cells and resistance to temozolomide (TMZ). Here we investigated the aspirin's antineoplastic molecular route by targeting SHH/GLI1 pathway and examined the feasibility of aspirin combined with TMZ therapy. Western blot and quantitative real-time polymerase chain reaction (qRT-PCR) revealed that the activity of the SHH/GLI1 pathway was strongly inhibited by aspirin. Aspirin acted as the glioma growth-inhibitory and pro-apoptosis roles by inhibiting the SHH/GLI1 pathway and reprogramming the epithelial to mesenchymal transition (EMT). The immunofluorescence assay showed aspirin could prevent the nuclear translocation of GLI1 to inhibit its transcriptional regulation. The stable lentiviral overexpression of GLI1 reversed the DNA double strand breaks (DSBs) caused by the GANT61 and TMZ. Furthermore, aspirin combined with TMZ enhanced chemosensitivity and GLI1-induced chemoprotection was partly blocked by aspirin and . Collectively, aspirin has a therapeutic potential for SHH/GLI1 targeted therapy against glioma cells. Acquired activation of GLI1 protects glioma cells against TMZ therapy. Impairment of DNA DSBs repair activity might be involved in the route of aspirin-induced chemosensitivity. Combined aspirin with TMZ may be a promising strategy against malignant glioma.

摘要

音猬因子(SHH)/胶质瘤相关癌基因同源物1(GLI1)信号通路的异常激活在恶性胶质瘤细胞的致瘤性及对替莫唑胺(TMZ)的耐药性中起重要作用。在此,我们研究了阿司匹林通过靶向SHH/GLI1信号通路的抗肿瘤分子途径,并探讨了阿司匹林联合TMZ治疗的可行性。蛋白质免疫印迹法和定量实时聚合酶链反应(qRT-PCR)结果显示,阿司匹林可强烈抑制SHH/GLI1信号通路的活性。阿司匹林通过抑制SHH/GLI1信号通路及重编程上皮-间质转化(EMT)发挥抑制胶质瘤生长和促凋亡的作用。免疫荧光分析表明,阿司匹林可阻止GLI1的核转位以抑制其转录调控。GLI1的稳定慢病毒过表达可逆转由GANT61和TMZ引起的DNA双链断裂(DSB)。此外,阿司匹林联合TMZ可增强化学敏感性,且阿司匹林可部分阻断GLI1诱导的化学保护作用。总体而言,阿司匹林在针对胶质瘤细胞的SHH/GLI1靶向治疗中具有治疗潜力。GLI1的获得性激活可保护胶质瘤细胞免受TMZ治疗。DNA DSB修复活性受损可能参与了阿司匹林诱导化学敏感性的途径。阿司匹林联合TMZ可能是一种治疗恶性胶质瘤的有前景的策略。

https://cdn.ncbi.nlm.nih.gov/pmc/blobs/b610/5425124/4634f8cc1881/aging-09-1233-g001.jpg

文献AI研究员

20分钟写一篇综述,助力文献阅读效率提升50倍。

立即体验

用中文搜PubMed

大模型驱动的PubMed中文搜索引擎

马上搜索

文档翻译

学术文献翻译模型,支持多种主流文档格式。

立即体验