Suppr超能文献

三联免疫纳米囊泡重塑肿瘤微环境,增强临床前癌症模型的化疗免疫治疗。

Triple-Combination Immunogenic Nanovesicles Reshape the Tumor Microenvironment to Potentiate Chemo-Immunotherapy in Preclinical Cancer Models.

机构信息

The First Affiliated Hospital, National Health Commission (NHC) Key Laboratory of Combined Multi-Organ Transplantation, Zhejiang University School of Medicine, Hangzhou, Zhejiang Province, 310003, P. R. China.

Jinan Microecological Biomedicine Shandong Laboratory, Jinan, Shandong Province, 250117, P. R. China.

出版信息

Adv Sci (Weinh). 2023 May;10(15):e2204890. doi: 10.1002/advs.202204890. Epub 2023 Apr 5.

Abstract

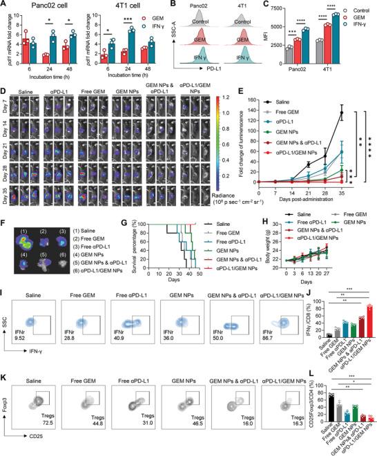
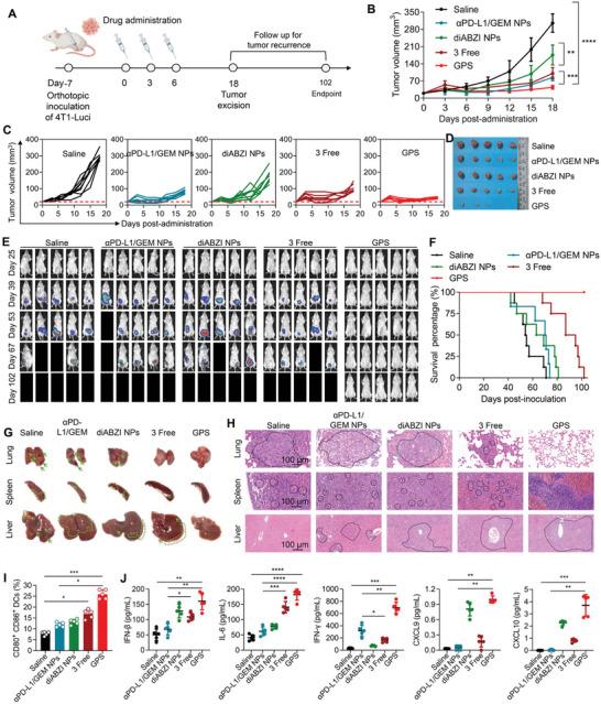
Immune checkpoint blockade (ICB) therapies have had a tremendous impact on cancer therapy. However, most patients harbor a poorly immunogenic tumor microenvironment (TME), presenting overwhelming de novo refractoriness to ICB inhibitors. To address these challenges, combinatorial regimens that employ chemotherapies and immunostimulatory agents are urgently needed. Here, a combination chemoimmunotherapeutic nanosystem consisting of a polymeric monoconjugated gemcitabine (GEM) prodrug nanoparticle decorated with an anti-programmed cell death-ligand 1 (PD-L1) antibody (αPD-L1) on the surface and a stimulator of interferon genes (STING) agonist encapsulated inside is developed. Treatment with GEM nanoparticles upregulates PD-L1 expression in ICB-refractory tumors, resulting in augmented intratumor drug delivery in vivo and synergistic antitumor efficacy via activation of intratumor CD8 T cell responses. Integration of a STING agonist into the αPD-L1-decorated GEM nanoparticles further improves response rates by transforming low-immunogenic tumors into inflamed tumors. Systemically administered triple-combination nanovesicles induce robust antitumor immunity, resulting in durable regression of established large tumors and a reduction in the metastatic burden, coincident with immunological memory against tumor rechallenge in multiple murine tumor models. These findings provide a design rationale for synchronizing STING agonists, PD-L1 antibodies, and chemotherapeutic prodrugs to generate a chemoimmunotherapeutic effect in treating ICB-nonresponsive tumors.

摘要

免疫检查点阻断 (ICB) 疗法对癌症治疗产生了巨大影响。然而,大多数患者存在免疫原性较差的肿瘤微环境 (TME),对 ICB 抑制剂表现出压倒性的新生耐药性。为了应对这些挑战,迫切需要联合使用化疗药物和免疫刺激剂的联合方案。在这里,开发了一种由聚合物单偶联吉西他滨 (GEM) 前药纳米颗粒组成的化学免疫治疗联合纳米系统,该纳米颗粒表面修饰有抗程序性细胞死亡配体 1 (PD-L1) 抗体 (αPD-L1),内部包裹有干扰素基因刺激剂 (STING) 激动剂。用 GEM 纳米颗粒治疗可上调 ICB 耐药肿瘤中的 PD-L1 表达,导致体内肿瘤内药物递送增加,并通过激活肿瘤内 CD8 T 细胞反应产生协同抗肿瘤疗效。将 STING 激动剂整合到 αPD-L1 修饰的 GEM 纳米颗粒中,通过将低免疫原性肿瘤转化为炎症肿瘤,进一步提高了反应率。系统给予三联组合纳米囊可诱导强烈的抗肿瘤免疫,导致已建立的大型肿瘤持久消退,并减少转移负担,同时在多种小鼠肿瘤模型中对肿瘤再挑战产生免疫记忆。这些发现为同步 STING 激动剂、PD-L1 抗体和化疗前药提供了设计原理,以产生治疗 ICB 无反应性肿瘤的化学免疫治疗效果。

https://cdn.ncbi.nlm.nih.gov/pmc/blobs/9554/10214259/dccbe6cbfb24/ADVS-10-2204890-g003.jpg

文献AI研究员

20分钟写一篇综述,助力文献阅读效率提升50倍。

立即体验

用中文搜PubMed

大模型驱动的PubMed中文搜索引擎

马上搜索

文档翻译

学术文献翻译模型,支持多种主流文档格式。

立即体验